Question 1
John Williams, aged 68 years, has been unwell for 10 days. He has headaches, fevers, a dry cough, shortness of breath and generalised muscle aches and weakness. A COVID-19 test on day two of the illness was negative. He becomes tearful, explaining his prized cockatoo died two weeks ago. On
examination, his temperature is 37.8 °C, heart rate 78/min regular, respiratory rate 18/min, blood pressure 125/85 mmHg, SpO2 97% room air. Chest auscultation reveals scattered rhonchi in both lower zones. You arrange appropriate investigations to support your provisional diagnosis.
What is the MOST appropriate initial step in management?
A. Amoxicillin 500 mg orally three times daily for seven days
B. Azithromycin 500 mg orally daily for three days
C. Cefuroxime 500 mg orally twice daily for five days
D. Ciprofloxacin 500 mg orally twice daily for seven days
E. Oseltamivir 75 mg orally twice daily for five days
Correct Answer: B. Azithromycin 500 mg orally daily for three days
Question 2
Charlotte Holmes, aged 12 years, has had intermittent left thigh pain for three weeks that is worst when she walks or runs. Sometimes she also feels the pain within her knee. Her mother has noticed her limping. Charlotte has not had any preceding trauma. Paracetamol helps her pain slightly. On
examination of the left hip, she has reduced hip internal rotation, abduction and flexion. When her hip is flexed there is external rotation of the leg. Her gait appears antalgic. Further examination of her back, hip and knee are unremarkable.
What is the MOST appropriate provisional diagnosis?
A. Lumbosacral spondylosis
B. Meralgia paresthetica
C. Muscular spasm
D. Osteoid osteoma
E. Osteomyelitis
F. Perthes disease
G. Rectus femoris muscle strain
H. Reflex sympathetic dystrophy
I. Slipped upper femoral epiphysis
J. Trochanteric bursitis
Correct Answer: I. Slipped upper femoral epiphysis
Question 3
Maria Spinello, aged 65 years, has had constant lower left-sided abdominal pain that began last night. Maria has only opened her bowels once every three days recently, which is unusual for her as she usually goes daily. She has experienced bouts of similar pain in the past. On examination, her
temperature is 37.5 °C, heart rate 70/min regular, blood pressure 130/80 mmHg. Her abdomen is soft and she has mild tenderness in the left lower quadrant. Blood tests and computed tomography scan of her abdomen confirm your provisional diagnosis with no complicating features identified.
What is the MOST appropriate next step?
A. Amoxicillin-clavulanic acid 875 mg/125 mg orally twice daily for five days
B. Docusate-senna 50 mg/8 mg one orally nocte
C. Recommend clear oral fluids and review in 48 hours
D. Refer for colonoscopy in 12 weeks
E. Refer for colonoscopy urgently
F. Refer to emergency department for intravenous amoxicillin 2 g four times daily and metronidazole 500 mg twice daily
G. Refer to hospital for insertion of nasogastric tube
H. Trimethoprim-sulfamethoxazole 160 mg/800 mg orally twice daily and metronidazole 400 mg orally twice daily for five days
Correct Answer: C. Recommend clear oral fluids and review in 48 hours
Question 4
Aymil Salib, aged 45 years, has had recurring excessive burping and intermittent upper abdominal discomfort two weeks after completing a course of over-the-counter esomeprazole 20 mg orally daily. His symptoms improved with the esomeprazole, but now are present on most days of the week. His meals consist mainly of take-away fast food. He has stopped smoking and does not drink
alcohol. He moved from Hong Kong three years ago.
What is the MOST appropriate initial investigation?
A. Abdominal ultrasound
B. Barium meal test
C. Coeliac serology
D. Electrocardiogram
E. Exercise stress test
F. Hydrogen breath test
G. Oesophageal manometry
H. Rapid urease test
I. Urea breath test
Correct Answer: I. Urea breath test
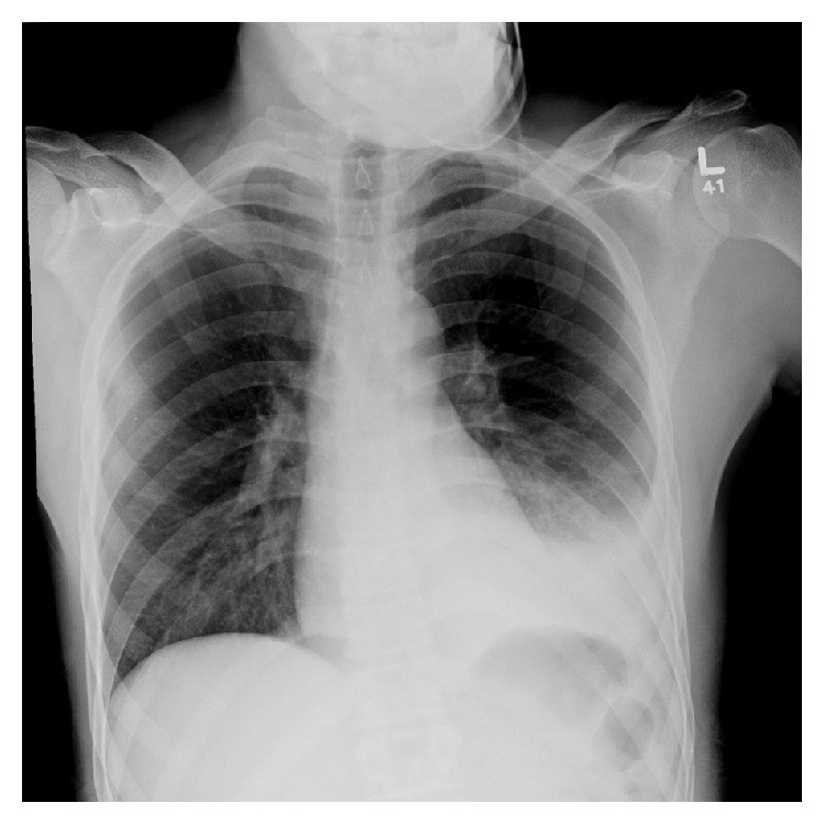
Question 5
Carol O’Grady, aged 68 years, has a three-month history of increasing pain in her right shoulder, shoulder blade and upper arm. She is a keen knitter but her hand ‘isn’t working as well as it should’. Carol has been using paracetamol 1 g orally four times daily with no improvement in her symptoms. Occasionally the pain wakes her from sleep. On examination, she has generalised reduction in her shoulder’s range of motion, weakness of the grip strength in her hand and atrophy of her thenar eminence. You arrange appropriate blood tests and a chest X-ray (see image).

What is the MOST appropriate provisional diagnosis?
A. Adhesive capsulitis
B. Carpal tunnel syndrome
C. Cervical radiculopathy
D. Osteoarthritis of the acromioclavicular joint
E. Osteoarthritis of the glenohumeral joint
F. Pancoast syndrome
G. Polymyalgia rheumatica
H. Supraspinatus tendonitis
Correct Answer: F. Pancoast syndrome
Question 6
Felicia Stone, aged 7 months, is brought in by her mother, Bianca, for pre-travel vaccinations. Among the vaccinations that you recommend, you advise that Felicia has the measles, mumps, rubella (MMR) vaccination today. Bianca asks whether Felicia will need any further doses of MMR vaccination in the
future.
What is the MOST appropriate advice to give regarding further doses of MMR vaccination?
A. No further doses are required
B. One additional dose should be given at 12 months of age
C. One further dose should be given at 18 months of age
D. Two further doses should be given at 12 and 18 months of age
E. Two further doses should be given at 17 and 18 months of age
Correct Answer: D. Two further doses should be given at 12 and 18 months of age
Question 7
Stacey McMahon, aged 28 years, is pregnant with her first child. All of her routine antenatal blood tests are normal, a dating scan has confirmed an intrauterine pregnancy at eight weeks gestation and her cervical screening test is up to date. Stacey has a history of asthma, and is well controlled on
budesonide-eformoterol 100 mcg/6 mcg two inhalations twice daily for maintenance and one inhalation as required for reliever therapy. In her early 20s she suffered from frequent exacerbations requiring hospitalisation at least three times per year. She is wondering if it is safe to continue her
current inhaler during pregnancy.
What is the MOST appropriate next step?
A. Add folic acid 5 mg orally daily
B. Add salbutamol 100 mcg inhalation as required
C. Add terbutaline 500 mcg inhalation as required
D. Arrange early glucose tolerance test
E. Change budesonide-eformoterol 100 mcg/6 mcg to budesonide 100 mcg inhalation twice daily
plus salbutamol 100 mcg inhalation as required
F. Change budesonide-eformoterol 100 mcg/6 mcg to fluticasone 50 mcg inhalation twice daily
G. Maintain current treatment regime
H. Refer her to an obstetrician urgently
Correct Answer: G. Maintain current treatment regime
Question 8
Jonny Rubic, aged 20 months, is brought to your rural practice by his mother. He has had rhinorrhoea for three days and was unsettled overnight. Jonny is identified in your clinical record as Aboriginal. He has had a few previous ear infections in the past. On examination, he appears well and is playing with
toys in your room. His tympanic temperature is 37.9 °C and both tympanic membranes are red and bulging. Appropriate COVID-19 testing and isolation advice have been provided.
What is the MOST appropriate first step in management?
A. Advise that his condition is likely to improve without treatment and review in 24 hours
B. Amoxicillin 15 mg/kg (up to 500 mg) orally three times daily for seven days
C. Amoxicillin-clavulanate 22.5 mg/3.2 mg/kg orally twice daily for five days
D. Ciprofloxacin 0.3% ear drops five drops instilled into both ears twice daily for seven days
E. Trimethoprim-sulfamethoxazole 4 mg/20 mg/kg (up to 160 mg/800 mg orally) twice daily for five days
Correct Answer: B. Amoxicillin 15 mg/kg (up to 500 mg) orally three times daily for seven days
Question 9
Aisha Benmassoud, aged 6 weeks, is brought in by her mother, Fatima, for a routine postnatal check. Aisha was born by spontaneous vaginal delivery at 39 weeks’ gestation after a normal pregnancy. Aisha weighed 3.24 kg at birth, is breastfeeding and is gaining weight well. On examination of
Aisha’s hips, she has asymmetric thigh creases but symmetric gluteal folds. Ortolani and Barlow tests are normal. The rest of the clinical examination is normal.
What is the MOST appropriate next step?
A. Recommend use of triple nappies
B. Repeat hip examination at three months of age
C. Ultrasound of both hips at six months of age
D. Urgent referral for paediatric orthopaedic review
E. X-ray of both hips now
Correct Answer: B. Repeat hip examination at three months of age
Question 10
Paul Tonkins, aged 65 years, has noticed a black, cobweb-like spot to the upper-left centre of his left visual field over the last two weeks. He initially thought there was something ‘in his eye’ but he can’t see any foreign bodies when he looks in the mirror. There is no pain or discharge and he otherwise
feels well. He had a transient ischaemic attack a few years ago. On examination, his external eye appearance is normal. His visual acuity is 6/6 bilaterally and his visual fields are normal to confrontation. His pupil is regular and reactive and he has a normal red reflex. He has no relative
afferent pupillary defect.
What is the MOST appropriate provisional diagnosis?
A. Acute macular degeneration
B. Cataract
C. Hyphaema
D. Intraocular foreign body
E. Ocular lymphoma
F. Optic neuritis
G. Posterior vitreous detachment
H. Retinal artery occlusion
I. Retinal detachment
J. Toxoplasma chorioretinitis
Correct Answer: G. Posterior vitreous detachment
Question 11
Boris Sokolov, aged 81 years, is brought in by his wife, who is worried about Boris’s difficulty sleeping. Boris commenced treatment for polymyalgia rheumatica six weeks ago. His shoulder and hip pains have resolved rapidly and he has remained pain free on a slowly reducing dose of medication.
However, despite the resolution of his pain, Boris is increasingly agitated, aggressive at times, and paces the house at night refusing to sleep. Boris’s current medications include: prednisolone 10 mg orally daily, metformin 1000 mg sustained-release orally twice daily, perindopril 5 mg orally daily,
paracetamol 1000 mg orally three times daily, and aspirin 100 mg orally daily.
On examination, his heart rate is 78/min regular, blood pressure 135/80 mmHg and tympanic temperature 36.7 °C. The rest of the clinical examination is normal.
Recent full blood count, erythrocyte sedimentation rate, electrolytes/urea/creatinine and liver function tests were all normal. A urine dipstick reveals no abnormalities.
What is the MOST appropriate provisional diagnosis?
A. Adverse drug reaction
B. Alzheimer dementia
C. Bipolar disorder
D. Cerebrovascular accident
E. Hyperthyroidism
F. Hypoglycaemia
G. Intracranial tumour
H. Lewy-body dementia
I. Normal pressure hydrocephalus
J. Serotonin syndrome
K. Temporal arteritis
L. Urinary tract infection
Correct Answer: A. Adverse drug reaction
Question 12
Rose Ack, aged 2 months, has a lump in the middle of her abdomen (see image). Her mother has noticed this lump intermittently since birth. She is not sure if it is more prominent now than before. On examination, the lump is noticeable when Rose is crying but not when she is relaxed. When
relaxed, the lump is not palpable. The rest of the clinical examination is normal.

What is the MOST appropriate next step?
A. Advise regular aperients
B. Advise to return in three months to have the lump re-examined
C. Gentle wrapping with an elastic bandage when active during the day
D. Reassure that this finding will resolve as the child grows
E. Refer to paediatric physiotherapist for exercise therapy
F. Refer to paediatric surgeon for surgical intervention
G. Request copies of Rose’s morphology scans in-utero
H. Ultrasound abdomen
Correct Answer: D. Reassure that this finding will resolve as the child grows
Question 13
Ruth Britten, aged 60 years, emails a photo of a lesion on her right lower eyelid (see image) that she is concerned about. She is not sure how long it has been there.

What is the MOST appropriate provisional diagnosis?
A. Basal cell carcinoma
B. Chalazion
C. Dacryocystitis
D. Ectropion
E. Entropion
F. Malignant melanoma
G. Molluscum contagiosum
H. Pyogenic granuloma
I. Stye
J. Squamous cell carcinoma
Correct Answer: A. Basal cell carcinoma
Question 14
James Bird, aged 36 years, has had stabbing pains in his lower abdomen when running over the last few weeks. He is a marathon runner, but recently had a break from running after contracting influenza. He was keen to return to training and restarted his regimen as soon as he had recovered
from the illness. His pain occurs after running for only a few kilometres. He also has the pain in his groin when walking up stairs and he is uncomfortable lying flat on his back in bed. His pain is reproduced when he is asked to hop on either leg.
What finding on examination is MOST likely to support your suspected provisional diagnosis?
A. Elevated faecal calprotectin
B. Positive cough impulse over internal inguinal ring
C. Positive pubic symphysis spring test
D. Positive Trendelenburg test
E. Rebound and guarding on palpation of the right iliac fossa
F. Unilateral reduced hip range of motion
G. Unilateral reduced lower limb deep tendon reflexes
H. Urine dipstick positive for blood
Correct Answer: C. Positive pubic symphysis spring test
Question 15
Jacinta Sattler, aged 32 years, has had a positive home urinary pregnancy test. Jacinta and her husband had been trying to conceive for six months. Jacinta’s last normal menstrual period was six weeks ago and she usually has a regular 28-day cycle. She has had urinary frequency and constipation
for the past two weeks. Her cervical screening test is up to date and she is taking a pre-natal vitamin supplement. Her mother has Graves’ disease. A repeat in clinic urine pregnancy test is also positive. You arrange appropriate investigations and the results are shown below.
| Test | Result | Normal range |
| Blood group | O Positive | |
| Antibody screen | Negative | |
| Rubella | Immune | |
| Human immunodeficiency virus | Negative | |
| Hepatitis C serology | Negative | |
| Hepatitis B surface antigen | Negative | |
| Syphilis serology | Negative | |
| Haemoglobin | 116 g/L | 115 – 165 |
| Ferritin | 32 ug/L | 30 – 160 |
| Thyroid Stimulating Hormone | 5.5* miU/L | First trimester: 0.1 to 2.5 |
| Free T4 | 5.1* pmol/L | 9.0 – 25.0 |
| Mid-stream urine – microscopy/culture/sensitivity | No growth |
What is the MOST appropriate next step?
A. Early pregnancy ultrasound scan
B. Levothyroxine 50 mcg orally daily
C. Nuclear thyroid scan
D. Propylthiouracil 100 mg orally three times daily
E. Repeat quantitative beta-human chorionic gonadotropin in 48 hours
F. Repeat thyroid function test in six weeks
G. Thyroid stimulating hormone receptor antibody test
H. Thyroid ultrasound
Correct Answer: B. Levothyroxine 50 mcg orally daily
Question 16
Jennifer Tayes, aged 53 years, has had a dry mouth and has been finding it increasingly difficult to eat
dry bread and biscuits. Her voice is often hoarse and she has to constantly sip water, causing her to
urinate frequently at night. She has a history of Sjögren syndrome with associated joint pains
that have been well managed with hydroxychloroquine 200 mg orally daily. On examination, her
mouth and throat appear normal.
What is the MOST appropriate advice for Jennifer?
A. Cease hydroxychloroquine
B. Rinse mouth with alcohol-based mouth wash four times daily
C. Rinse mouth with bicarbonate mouth wash four times daily
D. Suck clotrimazole lozenge three times daily
E. Use of a fluoride-free toothpaste
Correct Answer: C. Rinse mouth with bicarbonate mouth wash four times daily
Question 17
Tim Carter, aged 25 years, presents for a review of his asthma and repeat prescriptions. He was
diagnosed with ‘exercise-induced asthma’ two years ago. He was last seen about six months ago. Tim
has been taking budesonide 200 mcg two inhalations twice daily for the past 12 months. He also
takes salbutamol via metered-dose inhaler two inhalations when he feels short of breath which
usually happens once per week. He has had no significant cough and no wheeze associated with his
exercise.
What is the MOST appropriate next step?
A. Cease inhalers and use pulsed prednisone 25 mg orally when required
B. Change budesonide to montelukast 10 mg orally nocte
C. Change budesonide to eformoterol 6 mcg inhaled twice daily
D. Change budesonide to flixotide 250 mcg inhaled twice daily
E. Change to budesonide-formoterol 100 mcg/6 mcg inhaled twice daily
F. Commence omalizumab injections
G. Continue same treatment for a further 12 months
H. Recommend allergy testing before changing medications
I. Reduce to budesonide 200 mcg inhaled twice daily
Correct Answer: I. Reduce to budesonide 200 mcg inhaled twice daily
Question 18
Rick James, aged 68 years, limps into your consulting room after having a right-sided severely painful,
swollen and red first toe for three days. There has been no trauma to the toe and he otherwise
feels well.
He had a blood test recently with the following results:
| Test | Result | Normal range |
| Sodium | 139 mmol/L | 137 – 147 |
| Potassium | 4.8 mmol/L | 3.5 – 5.0 |
| Chloride | 104 mmol/L | 96 – 109 |
| Bicarbonate | 25 mmol/L | 25 – 33 |
| Anion gap | 15 mmol/L | 4 – 17 |
| Urea | 11.9* mmol/L | 3.0 – 8.5 |
| Creatinine | 230* mmol/L | 60 – 140 |
| Estimated glomerular filtration rate | 24* mmol/L | > 89 |
| Urate | 0.57* mmol/L | < 0.42 |
What is the MOST appropriate initial management?
A. Allopurinol 300 mg orally daily
B. Colchicine 1 mg orally immediately followed by 0.5 mg three times daily until symptoms resolve or diarrhoea develops
C. Indomethacin 50 mg orally three times daily
D. Paracetamol-codeine 500 mg/15 mg two tablets orally four times daily
E. Prednisone 15 mg orally daily for three days
Correct Answer: E. Prednisone 15 mg orally daily for three days
Question 19
Cynthia Dickson, aged 21 years, is a university student who recently returned from a five-week
backpacking trip through Cambodia, Laos and Vietnam. During the trip she visited remote regions of
the countryside. She has had six weeks of diarrhoea (two to three loose stools per day) and she also
has had mild abdominal cramping with bloating, flatulence and foul-smelling greasy stools.
She is up to date with her childhood vaccinations and received combined hepatitis A and
typhoid vaccinations before travel. Her physical examination is unremarkable.
What is the MOST appropriate treatment?
A. Azithromycin 1000 mg orally stat
B. Doxycycline 300 mg orally stat
C. Loperamide 2 mg orally three times daily
D. Oral rehydration 250 mL after each watery stool
E. Tinidazole 2 g orally stat
Correct Answer: E. Tinidazole 2 g orally stat
Question 20
Anthony Spall, aged 22 years, attends your clinic for results of tests performed last week. Anthony’s
brother was diagnosed with coeliac disease four months ago. Since then, Anthony has been following
a gluten-free diet ‘just in case’, but has now decided he wants to find out for sure if he is at risk of
coeliac disease. He has no symptoms and otherwise feels well.
Results from last week:
| Test | Result | Normal range |
| Human leucocyte antigen-DQ2/DQ8 genotyping | Negative | |
| Anti-tissue transglutaminase antibodies | 6 U/mL | < 20 |
| Deaminated gliadin peptide antibodies | 3 U/mL | < 20 |
What is the MOST appropriate next step in investigation?
A. Gluten-containing diet for six weeks then repeat coeliac serology
B. No further testing required
C. Repeat coeliac serology every five years
D. Repeat genetic test every five years
E. Small bowel biopsy
Correct Answer: B. No further testing required
Question 21
Rose Price, aged 71 years, has had worsening fatigue, episodes of shortness of breath and a dry cough for three months. Rose does aerobic exercise up to 20 minutes maximum, after which she becomes short of breath. She takes rivaroxaban 20 mg orally daily for persistent atrial fibrillation that was diagnosed last year, and perindopril 5 mg orally daily for hypertension. Rose recently had a normal computed tomography coronary angiogram and a coronary cardiac calcium score of 0 as part of investigations undertaken when she developed atrial fibrillation.
On examination, her blood pressure is 140/80 mmHg, heart rate 85/min irregularly irregular, oxygen saturation 96% on room air.
Chest X-ray: Cardiomegaly
Electrocardiogram: Left ventricular hypertrophy
Echocardiogram: Atrial fibrillation of 85–95 beats. Normal left ventricular size with low normal function, ejection fraction of 60%. Mildly dilated left atrium.
What is the MOST appropriate provisional diagnosis?
A. Dilated cardiomyopathy
B. Heart failure with preserved ejection fraction
C. Pulmonary embolus
D. Pulmonary hypertension
E. Takotsubo cardiomyopathy
Correct Answer: B. Heart failure with preserved ejection fraction
Question 22
Belinda Turret, aged 53 years, has had worsening ‘hot flushes’, which are uncomfortable and interfering with her sleep and work. Her last menstrual period was two years ago. Sexual intercourse has been increasingly painful in the past year. She has type 2 diabetes, hypertension and hypercholesterolaemia. Her regular medications are metformin extended-release 2 g orally daily, perindopril 4 mg orally daily and atorvastatin 40 mg orally daily. Her blood pressure today is 138/78 mmHg. Her calculated cardiovascular risk is 9%.
She has not previously wanted to consider treatment for menopause but her symptoms have become intolerable.
What is the MOST appropriate next step?
- Clonidine 25 mcg orally twice daily
- Oestradiol 25 mcg / 24-hour patch topically twice weekly and 100 mg micronised progesterone orally daily
- Oestradiol pessary 10 mcg intravaginally once daily for two weeks and then twice weekly
- Oestradiol valerate 1 mg orally daily and insertion of a levonorgestrel intrauterine deviceE. Venlafaxine 75 mg orally daily
Correct Answer: B. Oestradiol 25 mcg / 24-hour patch topically twice weekly and 100 mg micronised progesterone orally daily
Question 23
Harry Jones, aged 51 years, has had a dry cough, fever and diarrhoea over the last few days. He has
had a negative COVID-19 test. Harry’s wife says he is becoming increasingly sleepy, forgetful
and short of breath. They returned four days ago from a two-week cruise along the Queensland coast.
On examination, his temperature is 38.8 °C, heart rate 97/min and blood pressure 100/60 mmHg. He
has widespread crepitations on auscultation of the chest and reduced air entry over the left lower
lung field. You order a chest X-ray (see image).
Initial investigations are as follows:
| Test | Result | Normal range |
| Haemoglobin | 130 g/L | 130 – 180 |
| White cell count | 13.0* ×109/L | 4 – 11 |
| Platelets | 222 ×109/L | 150 – 450 |
| Sodium | 130* mmol/L | 135 – 146 |
| Potassium | 4.1 mmol/L | 3.5 – 5 |
| Creatinine | 129* µmol/L | 45 – 90 |
| Alkaline phosphatase | 30* U/L | 39 – 117 |
| C-reactive protein | 190* mg/L | < 5 |
A urine dipstick reveals 2+ of blood.

What is the MOST appropriate provisional diagnosis?
A. Chikungunya virus infection
B. Dengue fever
C. Exacerbation of chronic obstructive pulmonary disease
D. Influenza
E. Klebsiella pneumonia
F. Legionnaire disease
G. Ross River fever
H. Streptococcal pneumonia
Correct Answer: F. Legionnaire disease
Question 24
Brian Stamper, aged 63 years, asks you to sign a letter stating that he is fit to take part in the ‘over-60’
graduated exercise class at his local gym. Brian has hypertension, atrial fibrillation and chronic kidney
disease. He takes telmisartan 40 mg orally daily, atenolol 50 mg orally daily and rivaroxaban 20 mg
orally daily. His estimated glomerular filtration rate one month ago was 55* mL/min/1.73m2 (normal
range > 90).
On examination, his heart rate is 88/min and irregularly irregular, blood pressure 154/96 mmHg. On
auscultation of the chest there is an ejection systolic murmur radiating to the neck. His dorsalis pedis
and posterior tibial pulses are absent in the right foot. The rest of the examination is normal.
You explain to Brian that he should not increase his exercise level until he has had further investigation.
After Brian leaves, the medical student who is sitting in with you today asks what findings prompted
you to advise Brian not to increase his exercise.
What is the MOST appropriate response?
A. Ejection systolic murmur radiating to the neck
B. Estimated glomerular filtration rate of 55 mL/min/1.73m2
C. Heart rate 88/min and irregularly irregular
D. Resting blood pressure 154/96 mmHg
E. Unable to palpate dorsalis pedis pulse in the right foot
Correct Answer: A. Ejection systolic murmur radiating to the neck
Question 25
Jayden Bennett, aged 3 years, is brought in by his mother, Sarah. Sarah reports Jayden has been
unwell for five days with a fever, red eyes and a rash on his abdomen. Today the rash has improved
but his hands and lips look swollen. He is drinking but is irritable. On examination, tympanic
temperature is 38.5 °C. His tongue and lips are inflamed (see image).

What is the MOST commonly recognised complication of this disease?
A. Arterial aneurysms
B. Cardiac arrhythmia
C. Meningitis
D. Septicaemia
E. Steven Johnson syndrome
Correct Answer: A. Arterial aneurysms
Question 26
Betty Blackwood, aged 90 years, returns for results of the echocardiogram and blood tests that you arranged to investigate the worsening breathlessness she has had over the past few months. She has had ‘problems’ with her heart for many years and takes frusemide 40 mg orally daily, atorvastatin 20
mg orally daily, perindopril 5 mg orally daily and carvedilol 6.25 mg orally twice daily. Her full blood count and urea and electrolytes are normal. Her echocardiogram shows that her ejection fraction has dropped from 45% to 39%. On examination today, her blood pressure is 105/70 mmHg, heart rate
85/min regular. She has faint bi-basal crackles at both lung bases.
What is the MOST appropriate next step in pharmacological management?
A. Add digoxin 62.5 mcg orally daily
B. Add spironolactone 12.5 mg orally daily
C. Change her perindopril to ivabradine 5 mg orally twice daily
D. Increase her carvedilol dose to 12.5 mg orally twice daily
E. Increase her frusemide dose to 40 mg orally mane and 20 mg orally at lunch time
Correct Answer: B. Add spironolactone 12.5 mg orally daily
Question 27
Fatima Ali, aged 23 years, is a refugee from Afghanistan on a temporary protection visa who has had two months of low mood, fatigue and nightmares. She has used escitalopram 20 mg orally daily for the last four weeks with some improvement. She fled from Afghanistan with her younger sister where
she witnessed physical violence against some family members although she was not physically assaulted. She feels on edge at all times and avoids men as she feels uncomfortable around them.
She feels like she is ‘no longer in her own body’ and finds it hard to know ‘what is real’. She has previously had suicidal ideation but currently has no suicidal thoughts or plans. She has seen a psychologist for trauma-focused cognitive behavioural therapy but she feels she has achieved the
maximum benefit from this and would like to explore other options.
What is the MOST appropriate next step?
A. Add quetiapine 25 mg orally nocte
B. Cease escitalopram and initiate lithium 450 mg orally twice daily
C. Eye movement desensitisation and reprocessing
D. Family therapy
E. Refer to local acute mental health team for consideration of inpatient treatment
Correct Answer: C. Eye movement desensitisation and reprocessing
Question 28
Sofia Muhammad, aged 35 years, has had a debilitating and persistent dry cough for the last two weeks. She has been recalled for results of a pertussis polymerase chain reaction that was positive. She is a childcare worker and has been off sick since her cough began. She would like to return to work as soon as possible.
What is the MOST appropriate management?
- Advise she is no longer contagious and can return to work immediately
- Amoxycillin 1 g orally twice daily for seven days then return to work
- Azithromycin 500 mg orally stat then 250 mg orally daily for a further four days then return towork
- Doxycycline 100 mg orally daily for seven days then return to work
- She must wait until six weeks after the start of her cough before returning to work
Correct Answer: Azithromycin 500 mg orally stat then 250 mg orally daily for a further four days then return to work
Question 29
Simon Stevens, aged 4 years, presents with a two-month history of a daily moist cough. His mother is worried about the ‘rattle’ in his chest. The cough is worse in the morning when he wakes up. He had a five-day course of amoxicillin, which seemed to improve his cough, but it returned soon after finishing the antibiotic. On examination, his temperature is 36.8 °C and his chest is clear on auscultation.
What is the MOST appropriate next step?
- Amoxicillin-clavulanic acid 22.5 mg/3.2 mg/kg (max 875 mg/125 mg) twice daily for two weeks
- Clarithromycin 7.5 mg/kg/dose (max 500 mg) twice daily for seven days
- Fluticasone 50 mcg inhaled twice daily via spacer
- Fluticasone-salmeterol 50 mcg/25 mcg one puff twice daily via spacer
- Ipratropium 17 mcg one puff three times daily via spacer
- Montelukast 4 mg orally daily
- Prednisolone 1 mg/kg (max 50 mg) daily for 3-5 days
- Quantiferon Gold blood test
- Sodium cromoglycate 1 mg inhaled four times daily
- Sputum microscopy, culture and sensitivity
Correct Answer: Amoxicillin-clavulanic acid 22.5 mg/3.2 mg/kg (max 875 mg/125 mg) twice daily for two weeks
Question 30
Donald Parker, aged 66 years, has been coughing up increasing amounts of thick green sputum for the past four days. Yesterday, Donald saw another GP who prescribed amoxicillin 500 mg orally three times daily and a COVID-19 test was negative. Donald has returned today because he feels more short of breath with exertion. Over the past two years, Donald has required antibiotics on multiple occasions for similar presentations. He is an ex-smoker of 40 pack-years. He is using regular salbutamol 100 mcg inhaled via spacer (up to 10 inhalations as required) and you are satisfied with his inhaler technique. Today, spirometry shows forced expiratory volume in one second of 62% (pre-bronchodilator) and 66% (post-bronchodilator) of his predicted value.
On examination, his tympanic temperature is 38.0 °C, blood pressure 128/80 mmHg, respiratory rate 20/min, SpO2 95% room air. Respiratory examination reveals decreased air entry bilaterally and coarse crepitations at the base of both lung fields.
You arrange a chest X-ray and appropriate follow-up.
What is the MOST appropriate next step?
- Add budesonide 400 mcg inhaled twice daily
- Add prednisolone 30 mg orally daily for five days
- Change amoxicillin to amoxicillin-clavulanate 500 mg/125mg orally twice daily for five days
- Change amoxicillin to ciprofloxacin 750 mg orally twice daily for 14 days
- Change amoxicillin to trimethoprim-sulfamethoxazole 160 mg/800 mg orally twice daily for fivedays
Correct Answer: B. Add prednisolone 30 mg orally daily for five days
Question 31
Chloe Asher, aged 10 months, is brought in by her mother with a runny nose, wheeze and a moist cough that has been ongoing for two days. Chloe is not interested in solid foods but has been having more frequent breastfeeds. She has had a good amount of wet nappies. You have seen
Chloe previously to manage her eczema. Chloe has had negative COVID-19 testing. On examination, she is well hydrated and has mild chest wall retraction. Respiratory rate is 40/min (normal range 3060), tympanic temperature 37.8 °C, oxygen saturation 96% with widespread crackles and wheeze on chest auscultation. You discuss your provisional diagnosis with Chloe’s mother.
What is the MOST appropriate next step?
- Amoxicillin 25 mg/kg (max 500 mg) orally eight-hourly for five days
- Arrange transfer to emergency department
- Paracetamol 15 mg/kg (max 1 g) orally four times daily as required
- Prednisolone 1 mg/kg (max 50 mg) orally daily for five days
- Salbutamol 100 mcg six puffs inhaled via spacer and mask
Correct Answer: C. Paracetamol 15 mg/kg (max 1 g) orally four times daily as required
Question 32
Daniel Smith, aged 22 years, is an enthusiastic mountain biker. He has a one-week history of tingling and weakness in the fourth and fifth fingers of his right hand (see image). It started after a recent 12hour mountain bike race.

Which structure in the hand is the MOST likely affected resulting in this presentation?
- Flexor digitorum profundus
- Flexor retinaculum
- Median nerve
- Radial nerve
- Ulnar nerve
Correct Answer: E. Ulnar nerve
Question 33
Fergal Jackson, aged 5 years, has been unwell for the past 10 days with a fever, dry cough, sore throat and headache. Three days ago he started amoxicillin-clavulanate 22.5+3.2 mg/kg orally twice daily but he has not improved. On examination, his temperature is 38.4 °C and he has widespread, soft crepitations and mild wheeze within both lung fields. A nasopharyngeal swab for polymerase chain reaction for respiratory viruses taken at his initial presentation was negative for standard pathogens and COVID-19. A chest X-ray is performed (see images). You advise his mother to cease the current antibiotic treatment.

What is the MOST appropriate next step?
- Azithromycin 10 mg/kg (up to 500 mg) orally daily for three days
- Cephalexin 50 mg/kg (up to 500 mg) orally four times daily for seven days
- Doxycycline 50 mg orally twice daily for seven days
- Oseltamivir 45 mg orally twice daily for five days
- Prednisolone 1 mg/kg (up to 50 mg) orally daily for three days
Correct Answer: A. Azithromycin 10 mg/kg (up to 500 mg) orally daily for three days
Question 34
Freddy Smith, aged 21 years, is anxious about the appearance of his tongue. He has noticed strange markings on his tongue (see image) for the past month that seem to come and go. He reports feeling tired but otherwise has no other symptoms. On examination, the white markings are unable to be removed with a tongue depressor.

What is the MOST appropriate initial management?
- Amoxicillin 500 mg orally three times daily for seven days
- Nystatin suspension 1 mL orally four times daily and continue for seven days after symptomsresolve
- Oral prednisolone 50 mg orally daily for three days then 25 mg orally daily for four days
- Reassure him that no treatment is necessary
- Urgent ear, nose and throat referral for tongue biopsy
Correct Answer: D. Reassure him that no treatment is necessary
Question 35
Barry Rose, aged 76 years, has a facial rash (see image) that has been worsening over the past month. Many years ago he had a similar facial rash and it resolved when he stopped playing lawn bowls and needing to use sunscreen every day. At times his face seems to burn, particularly when he feels stressed.

What is the MOST appropriate initial management?
- Arrange blood tests including antinuclear antibodies
- Hydrocortisone cream 1% topically twice daily
- Metronidazole 0.75% gel topically twice daily
- Mupirocin 2% ointment topically three times daily for five days
- Refer to dermatologist for prescription of isotretinoin 10 mg orally daily
Correct Answer: C. Metronidazole 0.75% gel topically twice daily
Question 36
Xavier Green, aged 23 years, has an extremely itchy rash (see image) that began after he returned from a three-month working holiday on a cattle farm. The rash started on his hand but is now all over his body apart from his face and scalp. It is keeping him awake at night because it is intensely itchy. He has tried using an over-the-counter hydrocortisone cream to help with the itch but the rash appears to be worsening.

What is the MOST appropriate treatment?
- Cephalexin 500 mg orally four times daily for five days
- Econazole 1% solution topically to wet skin and leave overnight for three nights
- Fusidate sodium 2% ointment topically twice daily for 14 days
- Mupirocin 2% ointment topically twice daily for five days
- Permethrin 5% cream topically to dry skin from the neck down for eight hours and repeat in seven days
Correct Answer: E. Permethrin 5% cream topically to dry skin from the neck down for eight hours and repeat in seven days
Question 37
Ella Barker, aged 5 weeks, is brought in by her father, who is concerned about a lesion he noticed on her gum (see image). She was born at full term and is exclusively breast-fed. She continues to feed well and is settled.

What is the MOST appropriate diagnosis?
- Dentoalveolar abscess
- Gingival cyst
- Herpetic gingivitis
- Neonatal tooth
- Oral candidiasis
- Primary tooth exfoliation
- Suckling blister
- Teratoma
Correct Answer: B. Gingival cyst
Question 38
Dr Sandra Adams, aged 58 years, is a colleague in your rural practice. At lunch you notice that she is slurring her words, appears drowsy and she is having trouble focusing. On gentle enquiry she admits to consuming immediate-release oxycodone 30 mg orally before starting work this morning.
She started using the medication six months ago after spinal fusion surgery and has needed progressively higher doses several times per day. She begs you not to tell anyone as she is having financial difficulties since her recent divorce and must keep working. She promises to start a sliding scale of dose reduction. You ask her to immediately stop seeing patients and advise her to go home.
What is the MOST appropriate next step?
- Arrange weekly urine drug screening
- Arrange with your practice manager to have a colleague supervise Sandra’s consultations
- Report the incident to the Australian Health Practitioner Regulation Agency
- Report the incident to the Australian Medical Association
- Report the incident to the local police department
Correct Answer: C. Report the incident to the Australian Health Practitioner Regulation Agency
Question 39
Stella Filcock, aged 65 years, presents to your rural emergency department with chest pain and palpitations since last night. She describes it as a low-grade central chest tightness radiating through to her back. She has been very upset, as she learnt yesterday that her mother has metastatic breast cancer and doesn’t have long to live. She has a past medical history of asthma and
takes fluticasone 200 mcg inhaled twice daily. On examination, her temperature is 37.1 °C, blood pressure 136/84 mmHg and heart rate 104/min, regular. An electrocardiogram is performed (see image). Her troponin is 0.28* ug/L (normal range < 0.05).

What is the MOST appropriate provisional diagnosis?
- Acute grief reaction
- Acute pericarditis
- Aortic dissection
- Atrial fibrillation
- Congestive cardiac failure
- Left ventricular hypertrophy
- Panic attack
- Pulmonary embolus
- Supraventricular tachycardia
- Takotsubo cardiomyopathy
- Wolff-Parkinson-White syndrome
Correct Answer: J. Takotsubo cardiomyopathy
Question 40
Harold West, aged 24 years, was knocked to the ground earlier today after he collided with another player during an Australian Football League match. Harold got up quickly but he could not think clearly and had a headache so he stopped playing. He has taken ibuprofen 400 mg orally stat for the headache with some improvement. He remembers getting up this morning but cannot remember events after getting out of bed. However, he is able to recall events since he was injured. His team is playing a final in 10 days and he is keen to get back to playing as soon as possible.
Physical examination reveals mild tenderness over the short neck extensor muscles over his occiput.
His heart rate is 75/min regular and his blood pressure 110/68 mmHg.
What is the MOST appropriate next step?
- Advise him he needs 24-48 hours complete rest before commencing light activity
- Prescribe paracetamol-codeine 500 mg/30 mg two tablets every six hours as required
- Reassure him he can continue his normal physical activity
- Refer him for a computed tomography scan of his head immediately
- Refer him for a magnetic resonance image of his head if the headache does not settle in 24 hours
Correct Answer: D. Refer him for a computed tomography scan of his head immediately
Question 41
Jacinta Barrett, aged 28 years, has had very light vaginal spotting for the past six weeks, which increases after sexual intercourse. She has a regular menstrual cycle and her last normal period was three weeks ago. Jacinta is married with two children and her only sexual partner is her husband who has had a vasectomy. She had a normal cervical screening test two years ago. Cervical examination today is unremarkable and an endocervical swab is taken for chlamydia polymerase chain reaction.
What is the MOST appropriate next step?
- Cervical screening test
- Human papillomavirus polymerase chain reaction and liquid based cytology sample from the cervix
- Metronidazole 400 mg orally twice daily for five days and then cervical screening test one week later
- Pelvic ultrasound
- Refer for colposcopy
Correct Answer: B. Human papillomavirus polymerase chain reaction and liquid based cytology sample from the cervix
Question 42
Naomi Pearson, aged 27 years, has a long-standing history of feeling teary and depressed for a week before her periods. She has debilitating mood swings and anxiety during this time. Her symptoms resolve when she has her period. She has been seeing a psychologist regarding her monthly lowered mood symptoms and has tried lifestyle changes without any improvement. Naomi is hoping to try for a pregnancy later in the year. She occasionally takes sumatriptan 50 mg orally as needed for headaches that are preceded by numbness down one side of her face.
What is the MOST appropriate next step?
- Diazepam 5 mg orally daily as required for three days prior to menstruation
- Doxylamine 25 mg orally at night
- Ethinyloestradiol-levonorgestrel 30 mcg/50 mcg orally daily
- Metformin 250 mg orally twice daily
- Paroxetine 10 mg orally daily
- Sertraline 50 mg orally daily for 14 days before menstruation
- Spironolactone 50 mg orally daily
- Venlafaxine 75 mg orally daily for 14 days before menstruation
Correct Answer: F. Sertraline 50 mg orally daily for 14 days before menstruation
Question 43
Annette Camilleri, aged 53 years, is concerned about her upper arm aching and that her ‘elbow bones are sticking out’. She fears she may have cancer and often is so worried that her chest aches, heart races and she feels like she is choking. She has trouble concentrating and difficulty falling asleep. Her last period was two years ago and around that time she recalls being prescribed paroxetine for her mood. It did help but she only took the medication for two months as it made her feel tired and she gained weight. She still experiences an occasional hot flush, but is not bothered by them. She says she does not have time to see a psychologist but would consider medication. Her examination is normal.
What is the MOST appropriate pharmacological management?
- Amitriptyline 10 mg orally nocte
- Mirtazapine 30 mg orally nocte
- Quetiapine 25 mg orally nocte
- Sertraline 25 mg orally daily
- Tibolone 2.5 mg orally daily
Correct Answer: D. Sertraline 25 mg orally daily
Question 44
Tessa McCosker, aged 11 years, is concerned about multiple ‘blackheads’ on her face (see image). She has been using a soap-free cleanser and benzoic acid 5% topically daily for three months with no improvement. She has not experienced menarche and is not sexually active.

What is the MOST appropriate next step?
- Adapalene-benzoyl peroxide gel 0.1%/2.5% topically nocte
- Clindamycin 1% topically nocte
- Doxycycline 50 mg orally daily
- Isotretinoin 0.25 mg/kg orally twice daily
- Levonorgestrel-ethinyloestradiol 0.15 mg/0.03 mg orally daily
Correct Answer: A. Adapalene-benzoyl peroxide gel 0.1%/2.5% topically nocte
Question 45
Valerie Jones, aged 65 years, has become very tired while doing activities, such as walking to the letterbox. She is unable to hang the washing without needing to rest. She has hypertension, for which she takes lisinopril 5 mg orally daily. On examination, her heart rate is 70/min regular, blood pressure 130/90 mmHg and she has swelling of her ankles. Echocardiogram demonstrates a dilated left ventricle with left ventricular ejection fraction of 38%. You provide diet and lifestyle advice and enrol her in a rehabilitation program.
What is the MOST appropriate next step in pharmacological management?
- Aspirin 100 mg orally daily
- Bisoprolol 2.5 mg orally daily
- Change lisinopril to irbesartan 75 mg orally daily
- Digoxin 62.5 mcg orally daily
- Prednisolone 15 mg orally daily for four weeks, then review dosage
Correct Answer: B. Bisoprolol 2.5 mg orally daily
Question 46
Graham Hawthorne, aged 24 years, has been having more difficulty falling asleep since starting escitalopram 10 mg orally daily two weeks earlier for major depressive disorder. He thinks his mood might have slightly improved, but he is unsure. He has been taking his medication every day, but admits he has no routine for timing his doses. You discuss sleep hygiene measures.
What is the MOST appropriate next step?
- Change escitalopram to agomelatine 25 mg orally at night
- Change escitalopram to mirtazapine 15 mg orally at night
- Change escitalopram to sertraline 50 mg orally daily
- Increase escitalopram to 20 mg orally daily
- Recommend escitalopram is taken in the evening
- Recommend escitalopram is taken in the morning
- Recommend escitalopram is taken on an empty stomach
- Recommend escitalopram is taken with food
Correct Answer: F. Recommend escitalopram is taken in the morning
Question 47
Karla Brown, aged 42 years, is planning her first pregnancy. Her medical history includes obesity, gastroesophageal reflux disease and hypertension, for which she takes pantoprazole 20 mg orally daily and ramipril 5 mg orally daily. On examination, her body mass index is 36 kg/m2 and blood pressure 120/70 mmHg. You note she has previously had pre-employment blood tests, which confirm immunity to rubella and varicella. You advise her to commence folic acid 5 mg orally daily.
What is the MOST appropriate next step?
- Anti-Müllerian hormone
- Arrange a glucose tolerance test
- Cease pantoprazole and commence famotidine 40 mg orally daily, as required
- Cease ramipril and commence methyldopa 250 mg orally three times daily
- Thyroid function test
Correct Answer: D. Cease ramipril and commence methyldopa 250 mg orally three times daily
Question 48
Johnathan Schneider, aged 28 years, has had severe left-sided chest pain and a rash for five days (see image). He saw your colleague three days earlier and was commenced on famciclovir 500 mg orally three times daily. The pain has been disrupting his sleep and ability to concentrate at work. He is taking regular paracetamol 1 g orally four times daily and ibuprofen 400 mg orally three times daily without significant benefit.

What is the MOST appropriate next step?
- Bacterial swab for microscopy, culture and sensitivities
- Capsaicin 0.075% cream topically three times daily
- Flucloxacillin 500 mg orally four times daily for seven days
- Mupirocin 2% ointment topically three times daily for 10 days
- Oxycodone 5 mg orally every four hours, as required
- Prednisolone 50 mg orally daily for seven days
- Triamcinolone acetonide 0.02% ointment topically daily until skin is clear
- Trimethoprim–sulfamethoxazole 160 mg/800 mg orally twice daily for three days
Correct Answer: F. Prednisolone 50 mg orally daily for seven days
Question 49
Jack Holt, aged 33 years, presents to your clinic with severe diarrhoea. Your receptionist sends you a message to let you know that Jack is one of three patients who has been rushed from the same worksite with diarrhoea and vomiting. On further questioning, you discover that all three of these patients work on the same farm where a tractor crashed into a small barn causing a leak of multiple chemicals and farming supplies earlier today. Jack was one of the team that helped to clean up. On examination, you note that he has significant salivation. His heart rate is 50/min regular, blood pressure 125/76 mmHg and respiratory rate 22/min. His pupils appear small.
What chemical have Jack and his co-workers MOST likely been exposed to?
- Arsenic
- Chlorine
- Hydrogen sulphide
- Lead
- Organophosphate
- Paraquat
- Petrol
- Strychnine
Correct Answer: E. Organophosphate
Question 50
Samuel Griffiths, aged 18 years, is concerned about his acne, which is causing him to be selfconscious (see images). He has been dealing with it for most of his teenage years, but it has recently become worse. It is only affecting his face. He has tried benzoyl peroxide–clindamycin 5%/1% topically daily for the past three months and has noticed some improvement.

What is the MOST appropriate next step?
- Add doxycycline 50 mg orally daily
- Add spironolactone 25 mg orally daily
- Change benzoyl peroxide–clindamycin 5%/1% to tretinoin 0.025% topically
- Continue topical treatment only for a further three months
- Refer to a dermatologist for oral isotretinoin